Renaissance Family Dentistry
Suman Vidyarthi, DDS & Nanditha Vivekananthan, DDS
Renaissance Family Dentistry
Suman Vidyarthi, DDS & Nanditha Vivekananthan, DDS
Schedule Online
Like us on Facebook
Watch our Youtube Videos
Leave a Google Review
Instagram
(919) 544-7777
General Dentistry
PAY ONLINE
Menu
Existing Patients
Book Now
Map
Home
About
Our Team
Technology
Services
View All
Children's Dentistry
Crowns & Bridges
Dental Implants
Digital X-Rays
Emergency Dentistry
General Dentistry
Periodontal Treatment
Preventive Dentistry
Tooth Extraction
Tooth-Colored Fillings
Smile Gallery
Testimonials
Patient Info
View Patient Info
Your First Visit
Privacy Policy
Financial
FAQs
Blog
Contact
Renaissance Family Dentistry
>
Smile Gallery
>
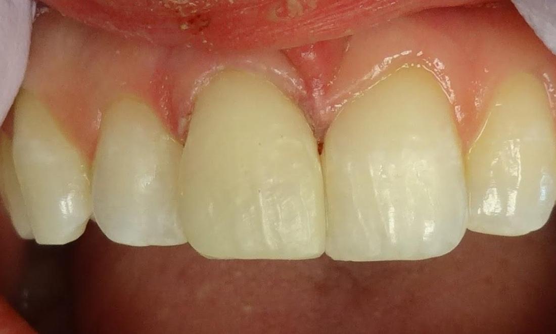
Bonding to Address Broken Front Tooth
Bonding to Address Broken Front Tooth
Return to Smile Gallery
Previous
Click image to see a larger picture
Before
After
Still need an appointment?
Contact Us
If you have difficulty using our website, please
email us
or call us at
(919) 544-7777
View the
ADA Accessibility Statement
Turn on ADA Views
OK!
×
×
Contact Us Today
Give Us A Call
Renaissance Family Dentistry -
(919) 544-7777
Send Us an Email
Ready to Schedule an Appointment?
Book Online
Have Questions? Contact Us:
Required Field
Your Name:
Phone:
Email:
Are you a new patient?:
Are you a?
New Patient
Current Patient
How would you like us to contact you?
Please choose
Email
Call
How did you hear about us?
Please choose
I'm an existing patient
Google/Bing
Word of mouth
Social media
Other
Who Referred You?:
Your Message:
This site is protected by reCAPTCHA and the Google
Privacy Policy
and
Terms of Service
apply.
Sending...
×
This Patient's Experience
Loading Testimonial...
Loading Case...